Email

info@cosmeticdentistinbrisbane.com.au

Teeth Whitening

Whitening

Teeth Whitening

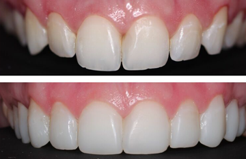
Everybody wants to have that pearly white smile. Then again, day-to-day tooth discolouration has made it a hard task to achieve.

You might not be entirely aware about this but every day, you may be wearing off the sparkle of your own smile. Your choices when it comes to food and drinks, as well as habits like smoking and insufficient oral hygiene, all play a huge role in damaging your tooth enamel and taking away the natural radiance of your smile.