Email

info@cosmeticdentistinbrisbane.com.au

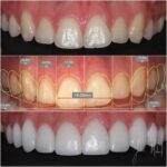
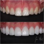
Porcelain Veneers

Porcelain veneers

Porcelain veneers before and after

Brisbane Cosmetic Dentist and Dental Veneers expert, Dr. James Malouf shares his examples of his porcelain veneers case studies below. Learn more about Porcelain Veneers.